Panoramic Radiographs and CBCT Scans: Know the Difference

By Dr. Ezra Ching with Insights Diagnostic

In the world of dental imaging, understanding the distinctions between different modalities and technologies are crucial for both dental professionals and patients. While Panoramic radiograph and Cone Beam Computed Tomography (CBCT) scans serve similar purposes in providing diagnostic insights for dentists, they differ significantly in terms of technology, imaging capabilities, and clinical applications. This article explains the 4 key differences between Panoramic Radiographs and CBCT scans, allowing individuals to make informed decisions about their dental care.

But first, let’s define terms!

X-rays: A form of electromagnetic radiation, similar to visible light. Unlike light, however, x-rays have higher energy and can pass through most objects, including the body.

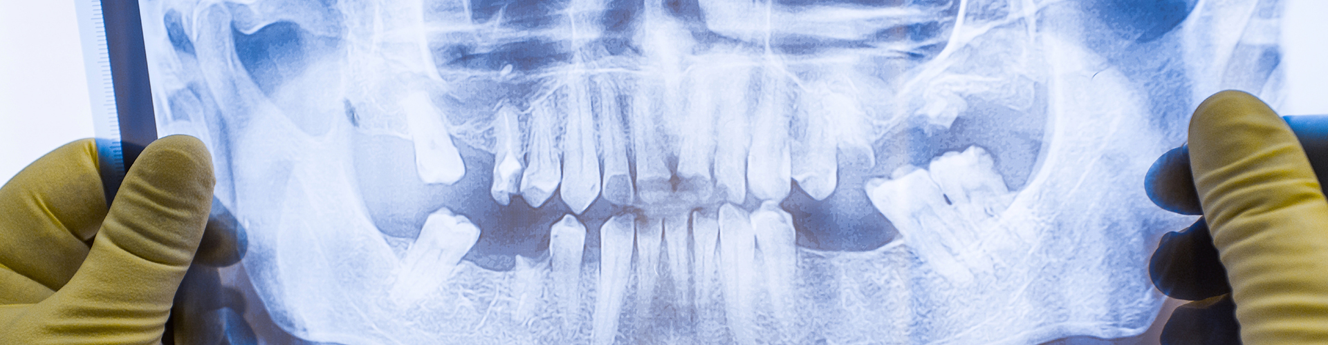
Panoramic Radiograph: also called an orthopantomogram is a two-dimensional (2-D) dental imaging tool that captures the entire mouth in a single image, including the teeth, upper and lower jaws, surrounding structures and tissues.

Cone beam computed tomography (CBCT): A radiographic imaging method that allows accurate, three-dimensional (3D) imaging of hard tissue structures.

FOUR KEY DIFFERENCES

  1. Technology and Imaging Process

    Panoramic Radiographs, use radiation to create flat images of teeth and mouth structures. These types of radiographs give a basic snapshot of the mouth, but they're limited to showing just one angle at a time.

    On the other hand, CBCT scans use a cone-shaped beam of radiation to create detailed 3D images of the teeth and surrounding areas. This technology rotates around the patient's head, capturing multiple angles and producing crystal clear cross-sectional images that provide a complete view of the mouth with very little distortion, and high accuracy.

  2. Imaging Capabilities

    Panoramic radiographs are primarily used to find cavities, and spot dental issues like fractures or probable infections in the mouth. While X-rays provide valuable diagnostic information, their ability to show complex structures or soft tissues is quite limited.

    In contrast, CBCT scans are more capable of providing detailed images of teeth, and bones, in three dimensions. They're incredibly useful for diagnosing dental problems, planning orthodontic treatments such as braces or implants, and finding issues with the jaw joint.

  3. Clinical Applications

    Panoramic radiographs are often used during regular dental check-ups, to find cavities, and evaluate the fit of dental restorations. They're also used in root canal treatments to see inside the roots for infections or problems.

    CBCT scans are valuable in many dental areas like placing implants, oral surgery, braces, root canal treatment, TMD assessment, and rebuilding facial structures. They provide detailed anatomical information that facilitates precise treatment planning, enhances treatment outcomes, and minimizes the risk of complications.

  4. Radiation Exposure Levels

    Traditional dental X-rays use a small amount of radiation to create images, which can vary depending on the type of X-ray and imaging technique used. While X-ray radiation levels are generally considered safe, it's important to limit exposure, especially for children and pregnant women who may be more sensitive.

    CBCT scans use a bit more radiation than Panoramic radiographs because they create 3D images. However, advancements in CBCT technology have led to the development of dose-reduction techniques that minimize radiation exposure while maintaining diagnostic quality. In fact, modern CBCT Scans such as those that are used in Insights Diagnostic, have less radiation exposure as compared to medical CT Scans and other Medical radiographs. The benefits of CBCT scans often outweigh the risks, especially for complex dental treatments and procedures where detailed imaging is crucial.

    In conclusion, understanding the differences between Panoramic radiographs and CBCT scans is essential for optimizing one’s dental care and treatment outcomes. While Panoramic radiographs are suitable for routine diagnostic purposes, CBCT scans offer unparalleled imaging capabilities that are vital for complex dental procedures and treatment planning. By knowing the distinction between these two imaging modalities, patients and dental professionals can make informed decisions about the most appropriate imaging technique for their specific needs, ultimately enhancing the quality and efficacy of dental care.

Article References:
Rodriguez Y Baena, Ruggero et al. “Differences between panoramic and Cone Beam-CT in the surgical evaluation of lower third molars.” Journal of clinical and experimental dentistry vol. 9,2 e259-e265. 1 Feb. 2017, doi:10.4317/jced.53234
Li, Gang. (2013). Patient radiation dose and protection from cone-beam computed tomography. Imaging science in dentistry. 43. 63-69. 10.5624/isd.2013.43.2.63.
Kweon, Helen Hye-In et al. “Panoramic radiography can be an effective diagnostic tool adjunctive to oral examinations in the national health checkup program.” Journal of periodontal & implant science vol. 48,5 317-325. 26 Oct. 2018, doi:10.5051/jpis.2018.48.5.317

Message us via our FB page @insightsdiagnostics or
Email us at admin@insights-diagnostic.com

We strive to provide our customers with top notch support to make their experience wonderful
Copyrights © 2026 All Rights Reserved by Insights Diagnostic
admin@insights-diagnostic.com · +632 8571 3399